福岡市中央区でインプラント治療なら医療法人木村歯科

ご予約・お問い合わせ Tel.092-725-1077 24時間受付中 WEB予約

〒810-0001 福岡市中央区天神1-6-8 天神ツインビル5F

天神駅・西鉄福岡駅 徒歩3

そのインプラント治療
医師の
「専門性」
びませんか?

〒810-0001
福岡市中央区天神1-6-8 天神ツインビル5F

CONTACT

インプラントをお考えなら
福岡市天神駅近くの木村歯科へ

無料相談実施中
お気軽にお越しください

9:10~13:00/14:00~18:00
休診:日曜・祝日

インプラント治療の詳細を教えてほしい
インプラント治療に興味があるが不安もある
インプラントの治療費や治療期間を知りたい
入れ歯以外の治療を検討している

軽度の症例~重度の症例まで
幅広く対応しています

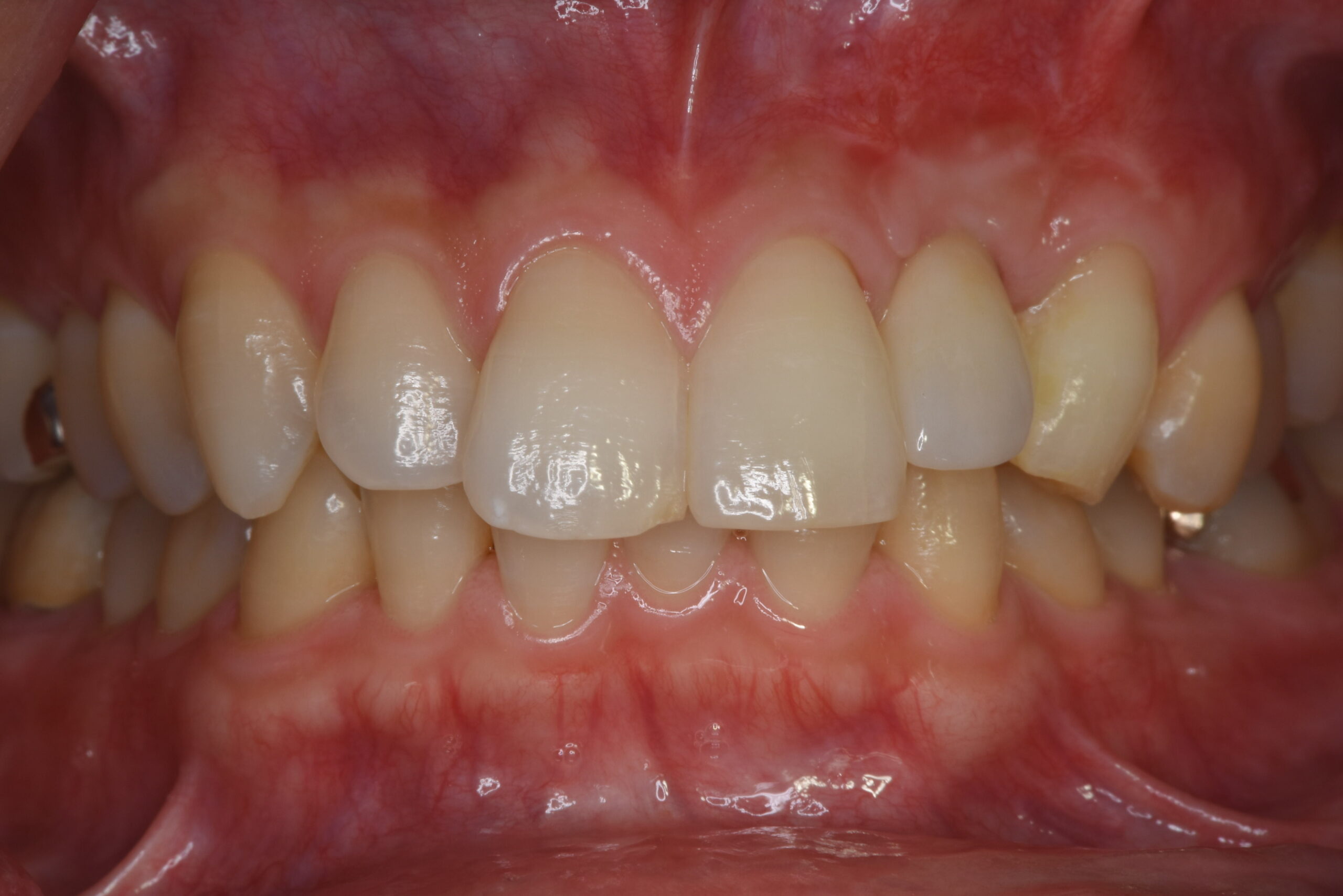
CASE 0 1

Before

Before

After

After
施術内容 骨造成を行いインプラント治療による修復
治療期間 1年
費用 759,000円(税込)
リスク・副作用 ・手術直後は、腫れや痛み、違和感、出血などが発生する場合がありますが、大体2~3日で治まります。
・口腔内の衛生状態が悪いかた、歯ぎしり、くいしばりの強いかたはインプラント周囲炎を引き起こす可能性があります。
・定期的なメンテナンスにお越しいただけない場合、インプラントが抜けやすくなる可能性があります。

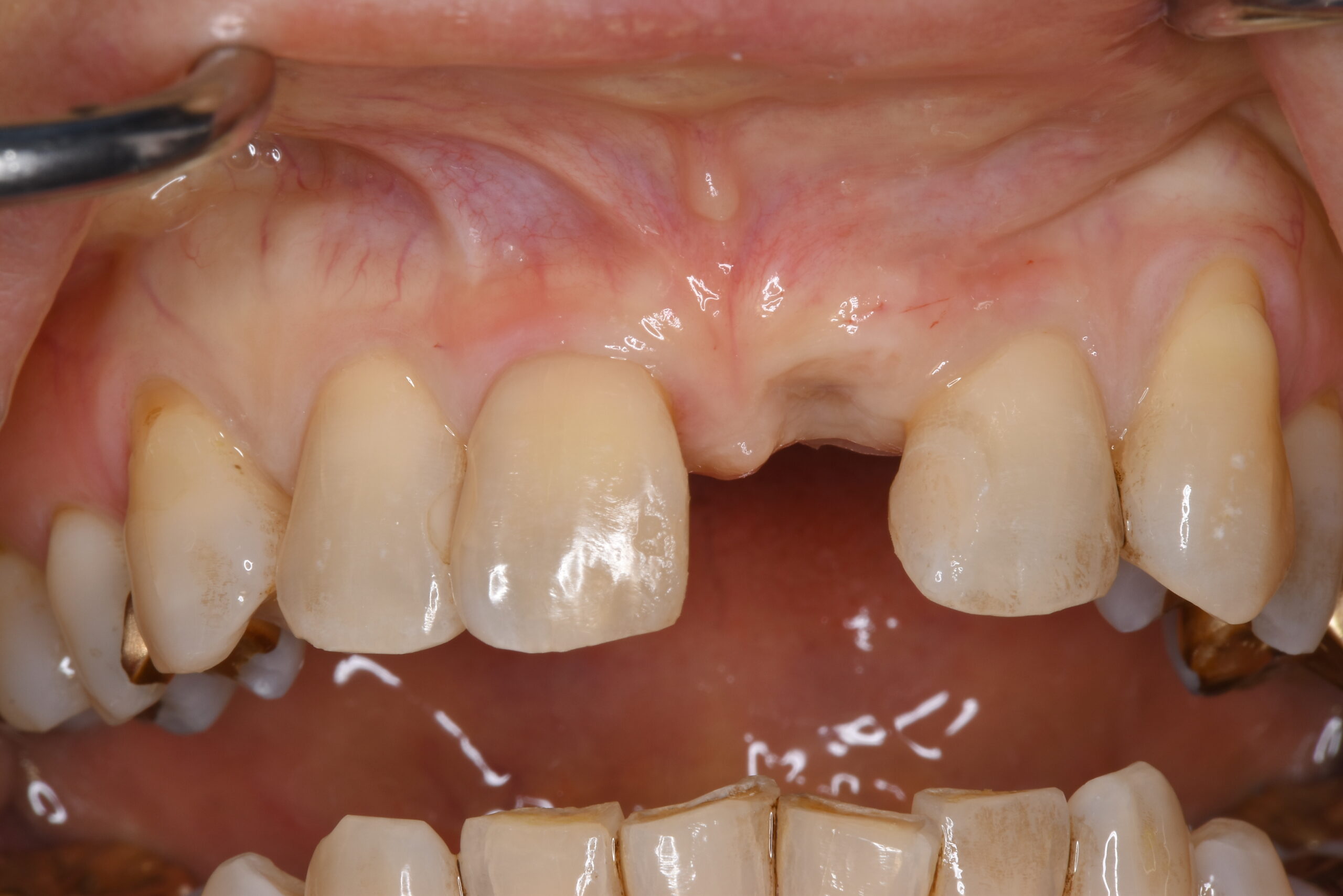
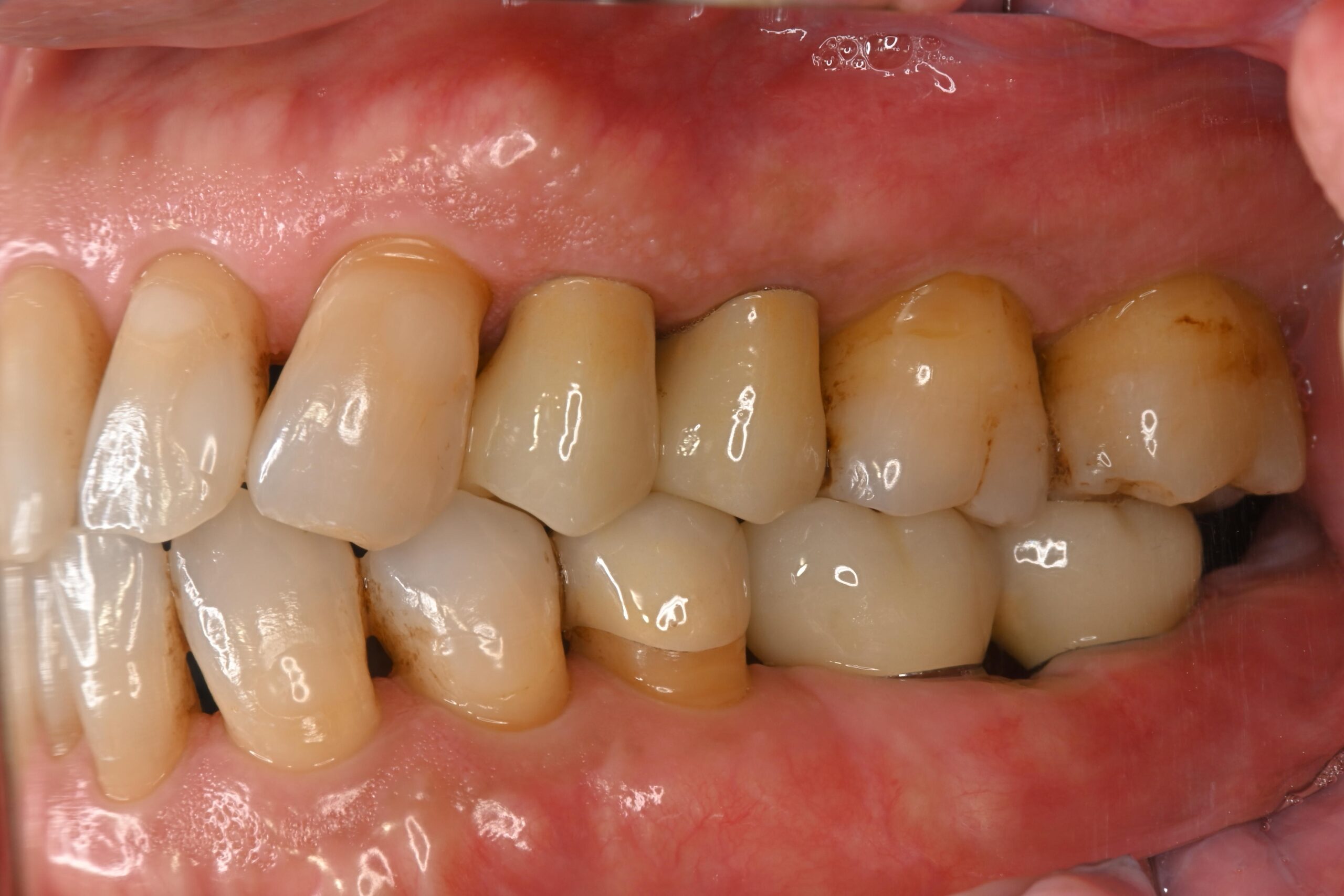
CASE 0 2

Before

Before

After

After
施術内容 骨造成を行いインプラント治療による修復
治療期間 1年
費用 759,000円(税込)
リスク・副作用 ・手術直後は、腫れや痛み、違和感、出血などが発生する場合がありますが、大体2~3日で治まります。
・口腔内の衛生状態が悪いかた、歯ぎしり、くいしばりの強いかたはインプラント周囲炎を引き起こす可能性があります。
・定期的なメンテナンスにお越しいただけない場合、インプラントが抜けやすくなる可能性があります。

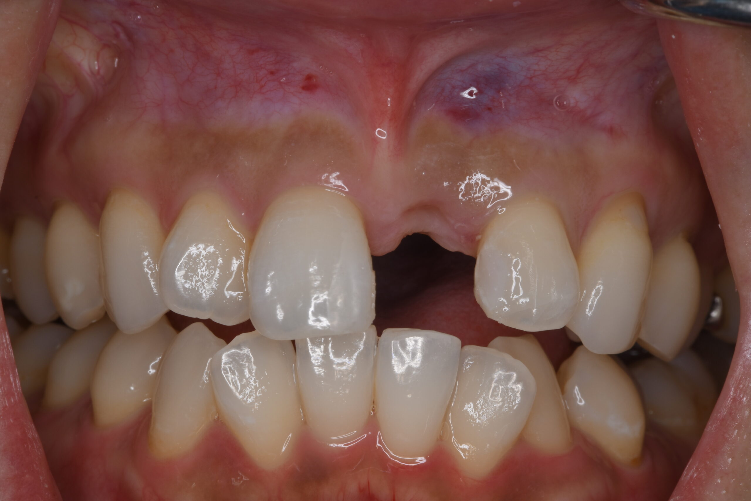
CASE 0 3

Before

Before

After

After
施術内容 骨造成を行いインプラント治療による修復
治療期間 1年
費用 759,000円(税込)
リスク・副作用 ・手術直後は、腫れや痛み、違和感、出血などが発生する場合がありますが、大体2~3日で治まります。
・口腔内の衛生状態が悪いかた、歯ぎしり、くいしばりの強いかたはインプラント周囲炎を引き起こす可能性があります。
・定期的なメンテナンスにお越しいただけない場合、インプラントが抜けやすくなる可能性があります。

CASE 0 4

Before

Before

After

After
施術内容 1番・2番:骨造成を行いインプラント治療による修復
治療期間 1年
費用 1,012,000円(税込)
リスク・副作用 ・手術直後は、腫れや痛み、違和感、出血などが発生する場合がありますが、大体2~3日で治まります。
・口腔内の衛生状態が悪いかた、歯ぎしり、くいしばりの強いかたはインプラント周囲炎を引き起こす可能性があります。
・定期的なメンテナンスにお越しいただけない場合、インプラントが抜けやすくなる可能性があります。

CASE 0 5

Before

Before

After

After
施術内容 下顎 6番・7番:骨造成を行いインプラント治療による修復
上顎 4番・5番、下顎 5番:ジルコニア修復
治療期間 2年
費用 1,749,000円(税込)
歯周治療・歯内治療は保険診療
リスク・副作用 ・手術直後は、腫れや痛み、違和感、出血などが発生する場合がありますが、大体2~3日で治まります。
・口腔内の衛生状態が悪いかた、歯ぎしり、くいしばりの強いかたはインプラント周囲炎を引き起こす可能性があります。
・定期的なメンテナンスにお越しいただけない場合、インプラントが抜けやすくなる可能性があります。

REASONS

木村歯科のインプラントが
選ばれる理由

インプラント治療と
歯周病治療に特化した歯科医師が
安心・安全な治療をご提供します

インプラントは豊富な知識と経験、確かな技術が必要となる繊細な治療です。当院には講演会での発表や書籍出版など学術活動を意欲的に行っている、インプラント治療と歯周病治療に精通した歯科医師が在籍しています。歯周病専門医だからこそ、残せる歯と残せない歯を適切に見極め、より安全で長期的予後が良好なインプラント治療をお届けいたします。

※全国10万人以上(※2025年現在)いる
歯科医師の中での取得率

毎日のケアでインプラント周囲炎を
予防しましょう

インプラント治療後は、インプラント周囲の組織が炎症を起こす「インプラント周囲炎」になってしまうリスクがあり、症状が進行するとインプラントが脱落してしまう可能性もあります。毎日適切なケアを行うことでインプラント周囲の健康状態を維持し、インプラントを長期間しっかり安定させることができます。インプラントを長持ちさせるために、日々の歯みがきを丁寧に行いましょう。

日本歯周病学会認定歯科衛生士
によるアフターメンテナンス

毎日の歯みがきだけでは汚れの除去が不十分な場合があるため、定期的に歯科医院でメンテナンスを受けていただくことをおすすめしています。当院では日本歯周病学会認定歯科衛生士が、インプラント治療後のアフターメンテナンスを担当いたします。専門的なクリーニングはもちろん、インプラントにトラブルがないかをチェックしますので、お困りごとがありましたら遠慮なくお申し付けください。

さまざまな分野を専門とする
歯科医師が
多角的な視点で
アプローチします

当院には、ITI公認インプラントスペシャリストや日本顎咬合学会認定医など、さまざまな分野で研鑽を積んだ歯科医師が在籍しております。インプラントを埋め込むだけでなく、しっかり噛めて長い期間使うことができるように、機能性や予後にもこだわって治療いたします。

ITI日本支部公認
インプラント
スペシャリスト

日本顎咬合学会
認定医

日本歯周病学会
認定指導医

セカンドオピニオンとしても
選ばれています

「本当にこの治療法でいいのかな…」 「他の歯医者さんでは違うことを言われたけど、どっちが本当?」
そんなふうに、心の中にモヤモヤを抱えていませんか?
当院では、そんなあなたの気持ちに寄り添うセカンドオピニオンを大切にしています。
納得できるまでじっくりお話を伺い、専門家の視点から客観的なアドバイスをいたします。
どんな些細なことでも構いません。まずはお気軽にご相談ください。

セカンドオピニオンとしても
ご利用ください

別の治療方法を
検討したい

治療費の比較をしたい

他院で
インプラント治療を
断られてしまった

当院では他院で治療を受けているかたを対象に、セカンドオピニオンを受け付けております。
患者さん自身が納得してインプラント治療を受けられるようサポートいたしますので、
不安や疑問があるかたはぜひ一度当院にご相談ください。

各種精密機器を活用して
インプラント治療のための
正確な診断を行います

インプラント治療を行ううえで、正確にお口の中を診断することはとても重要です。
そのため当院では、各種精密機器を使用して詳細な検査データを採取しています。

歯科用CT

歯や顎など、お口全体の詳細な3Dデータを採取できる装置です。神経の走行や、上顎洞などの位置も正確に把握することが可能です。レントゲンなどの一般的な画像検査よりも詳細なデータを得られるうえに、検査時間も短いため、患者さんの身体的負担を抑えながらも安全に治療を行うことができます。

マイクロスコープ

お口の中や歯・骨の構造は細かく、複雑に入り組んでいる部分もあります。マイクロスコープは視野を約20倍まで拡大することができるため、細かな部分の治療に役立ちます。肉眼では見えにくい部分まで正確に確認することで、治療の安全性や正確性が向上します。

口腔内スキャナー

患者さんのお口の中に小型カメラを入れて、歯や歯列の状態をスキャンし、3Dデータにする機械です。数十秒ほどで撮影できるだけでなく、従来の歯型採取方法と比べて検査中に不快感を感じることが少ないため、快適性に優れています。

専用オペ室も備えています

当院にはインプラント手術の際に使用する専用オペ室があり、細菌感染を防ぐために衛生管理を徹底しております。整った環境の中で、事前に行った精密検査の結果をもとに、緻密で正確な手術を行っていきます。

カウンセリングルームで
丁寧にわかりやすくご説明します

患者さんのプライバシーに配慮し、治療内容の説明や診察時にはカウンセリングルームを使用します。個室なので他の患者さんを気にすることなく、カウンセリングを受けていただけます。また、他院で既に治療を受けているかたへのセカンドオピニオンにも対応しておりますので、遠慮なくご相談ください。

高品質なストローマン
インプラントを採用

ストローマンインプラントは、世界中で約500万人以上(※2024年時点)に使用されている世界シェアトップクラスのインプラントで、品質の高さが評価されています。1回の手術で骨と結合できる特殊な構造になっているため、患者さんへの身体的負担が比較的少ないのも特徴です。

手術の正確性・
安全性を上げるために
サージカルガイドを使用します

インプラント手術を行う際には、精密検査の結果をもとに事前に作製したサージカルガイドを使用します。サージカルガイドには、インプラントを埋め込む位置や角度、深さなどの詳細な情報が記録されています。このガイドを使用することで手術の正確性が向上し、より確実な治療が可能です。

事前に作製したサージカルガイドに沿って手術を行うことで
シミュレーション通りの位置や深さ、角度にインプラントを埋入することが可能です。

ガイドを使用した場合

ガイドを使用しなかった場合

最長10年の保証制度で
治療後も安心して生活を送れます

インプラントは適切にケアをすれば10年近く使うことができるとされています。長期間安心してインプラントをお使いいただけるように、当院では第三者機関が最長10年間の保証をお約束する「ガイドデント保証システム」を採用しております。ガイドデント認定医院として、治療を受けられる皆さんの不安に寄り添います。

ガイドデント認定医院とは?

ガイドデントは民間の第三者保証制度のことです。ガイドデント認定医院となるには、治療年数や実績など90以上におよぶ審査項目をクリアする必要があります。つまりガイドデント認定医院とは、治療の質と信頼性、安全性が評価されているという証です。ガイドデント認定医院では第三者機関によりインプラント治療の10年保証書が交付され、万が一インプラントにトラブルが生じた場合でも保証を受けることができます。不測の事態への備えが、患者さんの安心につながります。

第三者による
公正・透明な保証制度

確実な
長期保証

全国ネットワーク保証で
安心通院

CASE

症例紹介

軽度症例
中度症例
重度症例

CASE 0 1

Before

Before

After

After
施術内容 骨造成を行いインプラント治療による修復
治療期間 1年
費用 759,000円(税込)
リスク・副作用 ・手術直後は、腫れや痛み、違和感、出血などが発生する場合がありますが、大体2~3日で治まります。
・口腔内の衛生状態が悪いかた、歯ぎしり、くいしばりの強いかたはインプラント周囲炎を引き起こす可能性があります。
・定期的なメンテナンスにお越しいただけない場合、インプラントが抜けやすくなる可能性があります。

CASE 0 1

Before

Before

After

After
施術内容 骨造成を行いインプラント治療による修復
治療期間 1年
費用 759,000円(税込)
リスク・副作用 ・手術直後は、腫れや痛み、違和感、出血などが発生する場合がありますが、大体2~3日で治まります。
・口腔内の衛生状態が悪いかた、歯ぎしり、くいしばりの強いかたはインプラント周囲炎を引き起こす可能性があります。
・定期的なメンテナンスにお越しいただけない場合、インプラントが抜けやすくなる可能性があります。

CASE 0 2

Before

Before

After

After
施術内容 骨造成を行いインプラント治療による修復
治療期間 1年
費用 759,000円(税込)
リスク・副作用 ・手術直後は、腫れや痛み、違和感、出血などが発生する場合がありますが、大体2~3日で治まります。
・口腔内の衛生状態が悪いかた、歯ぎしり、くいしばりの強いかたはインプラント周囲炎を引き起こす可能性があります。
・定期的なメンテナンスにお越しいただけない場合、インプラントが抜けやすくなる可能性があります。

CASE 0 1

Before

Before

After

After
施術内容 1番・2番:骨造成を行いインプラント治療による修復
治療期間 1年
費用 1,012,000円(税込)
リスク・副作用 ・手術直後は、腫れや痛み、違和感、出血などが発生する場合がありますが、大体2~3日で治まります。
・口腔内の衛生状態が悪いかた、歯ぎしり、くいしばりの強いかたはインプラント周囲炎を引き起こす可能性があります。
・定期的なメンテナンスにお越しいただけない場合、インプラントが抜けやすくなる可能性があります。

CASE 0 2

Before

Before

After

After
施術内容 下顎 6番・7番:骨造成を行いインプラント治療による修復
上顎 4番・5番、下顎 5番:ジルコニア修復
治療期間 2年
費用 1,749,000円(税込)
歯周治療・歯内治療は保険診療
リスク・副作用 ・手術直後は、腫れや痛み、違和感、出血などが発生する場合がありますが、大体2~3日で治まります。
・口腔内の衛生状態が悪いかた、歯ぎしり、くいしばりの強いかたはインプラント周囲炎を引き起こす可能性があります。
・定期的なメンテナンスにお越しいただけない場合、インプラントが抜けやすくなる可能性があります。

CONTACT

インプラントをお考えなら
福岡市天神駅近くの木村歯科へ

無料相談実施中
お気軽にお越しください

9:10~13:00/14:00~18:00
休診:日曜・祝日

インプラント治療の詳細を教えてほしい
インプラント治療に興味があるが不安もある
インプラントの治療費や治療期間を知りたい
入れ歯以外の治療を検討している

ADVANCED CARE

より高度な治療に
対応しています

難しい症例にも対応いたします

抜歯を伴う症例や歯の多くを失ってしまった症例は治療の難易度が高いため、場合によってはインプラント治療を断られてしまう可能性があります。当院ではこれらの難症例にも対応可能ですのでご安心ください。顎の骨が不足しているかたでもサイナスリフトやソケットリフトなどの骨造成を行うことで、インプラントを埋め込むことができます。他院で治療をお断りされてしまったかたは、ぜひ一度当院にご相談ください。

抜歯を伴う場合

むし歯や歯周病が進行している場合や歯が割れてしまっている場合は、インプラントを埋め込む前に抜歯が必要となる可能性があります。抜歯を伴うインプラント治療にもさまざまな種類があるため、患者さんに応じて適切な治療を選択いたします。

抜歯即時埋入

処置予定の歯を抜歯した当日に、インプラントを埋め込む方法です。抜歯後の歯ぐきの治療期間を設けないため、治療にかかる時間を大幅に減らすことができます。また、骨が痩せる前にインプラントを固定することができるため、早期に機能回復が期待でき、患者さんの身体的負担の軽減にもつながります。

抜歯早期埋入

抜歯してから1~2ヵ月程度待ち、歯ぐきがある程度回復したのを確認してからインプラントを埋入する方法です。軟組織が治癒しているのを確認してからインプラントを埋め込むため、感染リスクが抑えられ、しっかりとした初期固定が可能です。治療期間の短縮と安全性の、両方を重視した治療法です。

抜歯待時埋入

抜歯後3~6ヵ月ほど待ち、歯ぐきと骨が十分に治癒していることを確認してから、インプラントを埋入する方法です。組織が十分に回復しているため感染や炎症リスクが低く、初期固定の安定性が良好です。治療期間は長いですが、その分安定性と安全性に優れた治療法です。

より見た目を良く、
より長持ちさせたい場合

当院ではインプラント周囲炎の予防にも力を入れ、日々のケアがしやすい設計を心がけています。それによりインプラントが長持ちするのはもちろんのこと、美しい見た目も叶えることができます。

遊離歯肉移植術(FGG)

歯ぐきの厚みが足りない部分に、患者さん自身の健康な口腔内組織を移植することで、痩せた歯ぐきの幅を改善する治療法です。この処置により、自然な歯ぐきラインを再現することができます。また、審美性だけでなく、インプラントを長期的に安定させる効果も期待できます。

結合組織移植術(CTG)

患者さん自身の健康な口腔内結合組織(主に口蓋部分)を採取して歯ぐきに移植し、歯ぐきの厚みを改善する治療法です。軟組織の強化により、インプラントを長期的に安定させることができます。また、遊離歯肉移植術と比較して審美性に優れているため、前歯などの目立つ部分に行われることが多いです。

骨が足りない、薄い場合

インプラントを確実に固定するためには、十分な骨量が必要です。当院では骨量が不足している患者さんに対して、骨再生治療の計画を立て、安全に治療を行っています。

GBR

歯周病などが原因で骨量が低下してしまった部分に、人工骨材や自家骨を移植して、数ヵ月かけて自然に骨を再生させる治療法です。この方法により、骨量が不足している症例でも、安定してインプラントを埋め込むための土台作りができ、インプラント治療の成功率向上や審美性向上につながります。

ソケットリフト

ソケットリフトは、上顎の奥歯部分の骨の高さがやや足りない場合に行われる治療法です。インプラントを埋め込む部位から上顎洞の粘膜を持ち上げ、その空間に人口骨を入れて骨密度を高め、歯槽骨の高さを増やします。患者さんの身体的負担が比較的少ない方法です。

サイナスリフト

上顎の奥歯部分の骨の高さが非常に足りない場合に行われる治療法です。骨の横からアプローチして上顎洞の底部を持ち上げ、多くの人工骨を入れて十分な骨の厚みを確保します。ソケットリフトと比較するとやや侵襲性は高いですが、高度な骨不足に対応することができるため患者さんの治療の幅が広がります。

多数の歯を失ってしまった場合

インプラントオーバーデンチャー

顎の骨にインプラントを挿入し、そのインプラントを土台にして入れ歯を装着する治療方法です。当院ではマグネットタイプのものをご用意しております。マグネットの強度が強いため、通常の入れ歯よりも安定性に優れており、食べ物をしっかり噛むことができます。また、ご自身で入れ歯を外してお手入れできるため、お口の中を衛生的に保つことができます。

オールオン4・6・8
(ボーンアンカードブリッジ)

オールオン4・6・8は、4本、6本または8本のインプラントを埋め込み、前歯から奥歯までの人工歯を固定する治療方法です。少ないインプラント本数で多くの人工歯を支えることが可能です。安定性に優れているため外れにくく、自然な見た目も実現します。総入れ歯にお悩みのかたは、ぜひ一度ご相談ください。

TROUBLE

このような
お悩みはありませんか?

歯を失ってしまった

TROUBLE 01

歯周病で歯が
ボロボロになって
しまった

TROUBLE 02

入れ歯の見た目が
気になる

TROUBLE 03

入れ歯が外れやすく
使いにくい

TROUBLE 04

残っている歯を削らず
治療したい

TROUBLE 05

入れ歯のお手入れを
面倒に感じる

TROUBLE 06

治療後の
メンテナンスが不安

TROUBLE 07

このようなお悩みをお持ちのかたには
福岡市天神近く・木村歯科の
インプラント治療
がおすすめです

CONTACT

インプラントをお考えなら
福岡市天神駅近くの木村歯科へ

無料相談実施中
お気軽にお越しください

9:10~13:00/14:00~18:00
休診:日曜・祝日

インプラント治療の詳細を教えてほしい
インプラント治療に興味があるが不安もある
インプラントの治療費や治療期間を知りたい
入れ歯以外の治療を検討している

IMPLANT

インプラント治療とは?

Function and Aesthetics

機能性と審美性を
兼ね備えた治療法です

インプラント治療は、歯を失った部分の顎の骨の中に、インプラント体という人工の歯根を埋め込み、その上に人工の歯を装着する治療方法です。天然歯と同様に顎の骨で支えられるため違和感が少なく、しっかり噛むことができます。また、見た目も自然で審美性に優れています。

インプラント治療のメリット

噛む力が強い

顎の骨とインプラントが結合するため、安定性に優れており、天然歯のようにしっかりと噛むことができます。噛んだときの違和感も少なく、自然で快適な噛み心地が得られます。

MERIT 01

美味しく食べられる

歯を気にすることなく、よく噛んで食べることができます。しっかり噛めることで、食事の味を存分に楽しむことができます。また、歯ぐきとのすき間に物が挟まる心配も少ないです。

MERIT 02

隣の歯を痛めにくい

ブリッジや入れ歯などと異なり、インプラントでは他の歯を削ったり支えにしたりする必要がありません。そのため、健康な歯への負担が少なく、お口全体を健康に保つことができます。

MERIT 03

自然な見た目

インプラントは、入れ歯の留め具のような目に見えた目立つパーツがありません。また、インプラント体に取り付ける人工歯にこだわることで、天然歯のような自然な色や形を得ることができます。

MERIT 04

顎骨が痩せにくい

歯を失うと、その部分の顎の骨が痩せてしまう心配があります。インプラントを埋め込むことで、顎の骨に噛む刺激がしっかり伝わるため、顎の骨が痩せるのを防ぐ効果が期待できます。

MERIT 05

定期ケアで長持ち

ご自身の歯と同じように、インプラントは正しい方法で丁寧にお手入れすることで、長期間ご使用いただけます。また、歯科医院での定期的なメンテナンスも大切です。

MERIT 06

COMPARISON

他の治療との比較

患者さん一人ひとりに適した
治療法をご提案いたします

インプラント以外にも失った歯の機能を補ったり、見た目を改善させたりする方法はいくつかあります。当院では患者さんのお口の中の状態やご希望、ライフスタイルなどを考慮して、一人ひとりに合った治療をご提供しています。インプラント以外の治療法についても理解を深めていただいたうえで、ご自身に適した治療法を選びましょう。

種類
インプラント
ブリッジ
入れ歯
違和感の有無 ほぼありません 人によってはあります 種類によっては
違和感があります
審美性 天然歯に近い見た目 目立つものもあります 目立つものもあります
周りの歯への影響 ありません 隣の歯に負担があります 隣の歯に負担があります
治療期間の長さ 手術を含め3ヵ月~1年程度
かかります
1ヵ月半程度 2ヵ月程度
耐久性の強さ 10~15年程度持ちます 7~8年程度持ちます 5~6年程度持ちます
外科処置の有無 手術が必要 ありません ありません

注意点・リスク・副作用

・骨が成長途中であるお子さん(およそ18歳未満のかた)は、インプラント治療はできません。
・インプラント治療では、痛み止めや抗生物質などを使用するため、妊娠中のかた、妊娠の可能性のあるかた、授乳中のかたは、インプラント治療を控えてください。
・心疾患、骨粗鬆症など内科的な疾患のあるかたは、インプラント治療に適さない場合があります。
・上顎にインプラントを埋入する際に上顎洞を破る可能性があります。
・手術した時に感染が生じると蓄膿症になる場合があります。この場合は、インプラントを除去し、耳鼻咽喉科で治療を受けていただくことがあります。ただし、当院ではこのような感染事故は現在まで発症しておりません。

FLOW

インプラント治療の流れ

01

無料相談

インプラント治療を検討中のかたは、まずは無料カウンセリングにお越しください。お口や歯に関するお悩みや治療のご希望について詳しくお聞きします。その後、カウンセリング結果をもとに簡単な口腔内チェックののち、レントゲン撮影や歯型の採取なども行います。また、安全に治療を行うために、全身の健康状態や既往などについてもお伺いいたします。

02

精密検査

治療計画を詳しく立てるためには、正確な検査データが必要です。当院ではより詳細な検査結果を得るために、歯科用CTやマイクロスコープなどの精密機器をご用意しております。これらの機器を使用することで、肉眼だけでは把握できないお口全体や骨の状態の検査が可能です。また、得られた検査結果は治療シミュレーションにも役立ちます。

03

診断・治療計画

カウンセリングや精密検査の結果をもとに、現在の患者さんのお口の状態や問題点について、わかりやすくご説明いたします。インプラント以外にも患者さんに適した治療法があれば、そちらのご案内もいたします。治療のメリット・デメリット、治療にかかるおおよその期間や金額などもご説明いたしますので、もし不安やご希望があれば遠慮なくお申し付けください。

04

一次手術

治療計画に同意をいただけましたら、治療を進めてまいります。麻酔を行い、痛みを感じにくい状態で歯ぐきを切開し、顎の骨の中にインプラント体を埋め込みます。手術は事前のシミュレーションに沿って、サージカルガイドを使用しながらインプラントを正確な位置および方向に埋め込みます。手術後は、インプラントと骨がしっかり結合するまで3~4ヵ月程度待ちます。

05

二次手術

インプラント体と顎の骨がしっかり結合したのを確認し、歯ぐきに埋まっているインプラント上部を露出させアバットメントを装着します。その後は仮の歯を取り付け、全体の噛み合わせや見た目を確認しながら、最終的に人工歯を取り付けるための準備を進めていきます。

06

人工歯の取り付け

作製した人工歯を装着します。人工歯を実際に装着した後も、噛み合わせや着け心地を確認し、細かな最終調整を行います。インプラントによる歯の再建が完了すると、まるで自分の歯のような自然な感覚になり、歯を気にせず食事や会話を楽しむことができます。

07

メンテナンス

インプラント治療が完了した後は、ご自身で毎日ケアを継続していただき、インプラント周囲炎を予防する必要があります。患者さん一人ひとりに適した歯みがき方法もお伝えいたしますので、ご自宅で実践してみてください。また、定期的に歯科医院に通院していただき、専門的なクリーニングやインプラントの状態の確認、噛み合わせのチェックを行う、アフターメンテナンスを受けていただきます。

CONTACT

インプラントをお考えなら
福岡市天神駅近くの木村歯科へ

無料相談実施中
お気軽にお越しください

9:10~13:00/14:00~18:00
休診:日曜・祝日

インプラント治療の詳細を教えてほしい
インプラント治療に興味があるが不安もある
インプラントの治療費や治療期間を知りたい
入れ歯以外の治療を検討している

GREETING

ご挨拶

院長

木村 英隆

Hidetaka-Kimura

皆さん、はじめまして。医療法人木村歯科院長の木村英隆です。
当院は平成11年に福岡市で開業して以降、地域の皆さんのお口の健康を支えるために、日々患者さんに向き合ってまいりました。
むし歯や歯周病、外傷などで歯を失ったかたの中には、「うまく噛めなくて食事が楽しめない」「見た目が気になって人前でうまく話せない」などのお悩みを抱えているかたもいらっしゃると思います。そういったかたにとってインプラント治療は、失った歯の機能や自然な見た目を取り戻し、生活の質を向上させるための優れた治療法だといえます。

インプラント治療は手術が必要なため、不安に思うかもしれません。当院では患者さんの不安な気持ちにも寄り添い、正確で高品質のインプラント治療をお届けいたします。一人でも多くのかたが、より豊かな生活を送れるようサポートをさせていただきます。皆さんのご来院を、心よりお待ちしております。

略歴

  • 1990年
    九州大学歯学部 卒業
    船越歯科歯周病研究所 就職
  • 1996年
    日本歯周病学会 認定医取得
    (現:歯周病専門医)
  • 1999年
    船越歯科歯周病研究所 退職
    木村歯科歯周研究所 開業
  • 2004年
    日本歯周病学会 ※指導医取得
  • 2005年
    日本歯周病学会 研修施設指定
  • 2006年
    日本臨床歯周病学会 
    ※指導医取得
    木村歯科歯周研究所 移転開業
  • 2014年
    日本臨床歯周病学会 
    インプラント指導医取得
    医療法人木村歯科 移転開業
  • 2018年
    九州大学歯学部 臨床教授就任
    ITI Fellow就任
  • 2023年
    日本臨床歯周病学会理事長就任
    東京医科歯科大学 非常勤講師

資格・所属学会

資格

  • 日本歯科専門医機構認定 歯周病専門医
  • 日本歯周病学会認定 歯周病指導医
  • 日本臨床歯周病学会認定 歯周病指導医
  • 日本臨床歯周病学会認定
    歯周インプラント指導医
  • 日本顎咬合学会 認定医
  • ITI日本支部公認
    インプラントスペシャリスト

所属学会

  • 日本歯周病学会
  • 日本臨床歯周病学会
  • 米国歯周病学会
  • 日本顎咬合学会
  • ITI Membership

CLINIC

医院紹介

〒810-0001
福岡市中央区天神1-6-8 天神ツインビル5F

診療時間
9:10~13:00
14:00~18:00

休診日:日曜、祝日
◎:13:30~15:30

アクセス詳細

FEE

費用

インプラント

外科手術

1次手術(インプラント埋入手術)+インプラント体(1本)286,000円
2次手術(インプラント埋入後外科手術)44,000円
骨造成(1歯)165,000円
骨造成(2歯以上)220,000円
上顎洞挙上術(サイナスリフト)88,000円~330,000円
CT撮影診査22,000円
インプラント埋入ガイド(1〜2歯)55,000円
インプラント埋入ガイド追加加算(1歯追加)5,500円
インプラント周囲炎外科手術(1歯)66,000円

※表示金額は全て税込みです

上部構造

アバットメント(内冠)(金合金・チタン)55,000円
金合金鋳造冠132,000円
セラミック冠(メタルフレームポーセレン)159,500円
セラミック冠(ジルコニア)176,000円

※表示金額は全て税込みです

お支払方法

当院では、下記のお支払方法が可能です。

現金

現金でのお支払い

銀行振込

振込でのお支払い

クレジットカード

※自費診療のみ
VISA/JCB/
Mastercard/など

デンタルローン

低金利分割払いでの
お支払い

医療費控除について

1年間(1月1日~12月31日)で医療費を10万円以上支払った場合に、一定金額の所得控除を受けることができる制度が医療費控除です。ご自身のみならず、生計をともにするご家族の医療費も適応となります。詳しくは国税庁のホームページをご覧ください。

国税庁のホームページ

Q&A

よくあるご質問

Q

インプラントはどのくらい
持ちますか?

A

インプラントは永久的なものではありません。お口の中の状態や年齢にもよりますが、適切なケアを継続することで10~15年程度と比較的長期間ご使用いただけます。毎日の歯みがきはもちろんのこと、定期的に歯科医院でメンテナンスを受けることもおすすめしています。

Q

インプラントに年齢制限は
ありますか?

A

インプラント治療に年齢の上限はありません。しかし、顎の骨の成長途中である若年者、糖尿病や心疾患、骨粗鬆症などの併存疾患を有するかたは、インプラント治療を受けられない可能性があります。治療を受けられるか不安なかたは、一度ご相談ください。

Q

手術が不安なのですが、
大丈夫でしょうか?

A

インプラントを埋め込む手術の際には歯ぐきを切開したり、歯を削ったりする処置を行いますが、局所麻酔を使用しますのでご安心ください。麻酔により手術中に痛みを感じることはほとんどありません。患者さんの身体的負担をできるだけ抑えるよう配慮いたしますので、強い不安を感じるかたは遠慮なくご相談ください。

Q

治療完了まで、どのくらいの
期間がかかりますか?

A

治療期間は患者さんごとで異なりますが、一般的にはインプラント体を顎の骨に埋める一次手術の後、3~4ヵ月程度の定着期間を設けます。その後は二次手術や人工歯の取り付けも行い、合計して3~6ヵ月程度の治療期間が必要です。抜歯や骨造成が必要な場合は、6ヵ月~1年程度かかります。

Q

インプラント治療後の注意点は
ありますか?

A

インプラントは骨としっかり結合しますが、粘膜との結合は弱いため感染しやすいです。感染を予防するために、毎日丁寧に歯みがきを行い、定期的に歯科医院でメンテナンスを受けるようにしましょう。感染や炎症を放置すると、インプラントが脱落してしまう可能性もありますのでご注意ください。